Qu'est-ce que les aligneurs peuvent faire pour vous?

Ce n'est peut-être pas la bonne question!

Qu'est-ce que les aligneurs peuvent faire pour moi?

Qu'est-ce que les aligneurs peuvent faire pour vous?

La vraie question à se poser est: qu'est-ce qu'on peut faire avec les aligneurs?

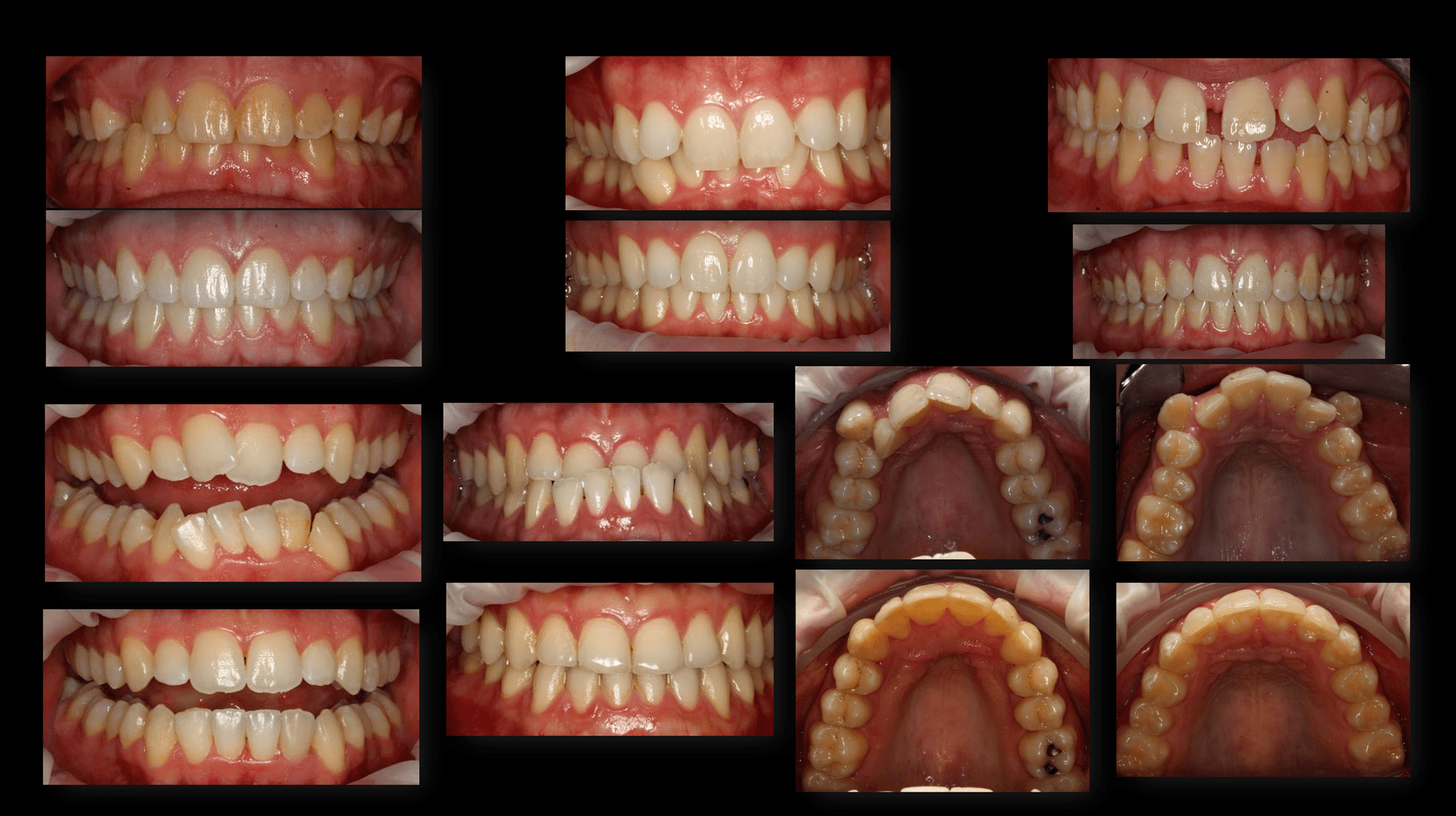
Les aligneurs transparents sont ici pour rester. Ce n'est plus quelque chose du futur, mais c'est de la réelle dentisterie numérique. Si vous regardez les cas illustrés à la Figure 1, pouvez-vous deviner lesquels de ces cas sont des cas d'aligneurs transparents? Ou comme on entend communément, "des cas d'Invisalign®"? La vraie réponse est qu'aucun de ces cas n'est un cas d'aligneur transparent. La bonne question à se poser est: lesquels de ces cas sont des cas d'orthodontie?


Les aligneurs transparents ne sont que des outils. Ce que vous faites lorsque vous les utilisez, c'est de l'orthodontie. Le plastique ne bouge pas les dents. Les broches ne bougent pas les dents. Ce sont des outils que nous utilisons pour appliquer la force dont nous avons besoin pour déplacer les dents. Tous les cas que vous voyez sur la Figure 1 ont été traités avec les aligneurs Invisalign®.


De quoi avez-vous besoin bouger les dents? Vous avez besoin de trois choses: de la force, du temps et de l'espace. Si l'un de ces trois "ingrédients" ne sont pas présents, oubliez ça! Les dents ne bougeront pas! À moins d'être en présence d'une maladie parodontale active!


En tant que dentistes généralistes faisant de l'orthodontie, nous sommes trop souvent insécures face aux problèmes de malocllusion que nous voyons. Nous pensons que nous ne pourrons pas y remédier, nous pensons que ça va être trop difficile, et quand il s'agit d'aligneurs transparents, nous pensons souvent que ce que nous pouvons faire avec ces outils est très limité.


La réalité est que, de nos jours, nous pouvons faire ce que nous voulons avec des aligneurs transparents. C'est pourquoi ce n'est pas une question de savoir ce que les aligneurs peuvent faire pour vous, mais plutôt ce que VOUS pouvez faire, ou ce que vous êtes confortable de faire avec eux.


Il y a sans aucun doute une courbe d'apprentissage, comme dans tout ce que nous faisons! Il faut prendre le temps d'apprendre, mettre vos mains à la pâte (ou dans la salive!), et faire quelques cas. Si vous connaissez l'orthodontie. Vous ne devriez pas avoir peur de commencer avec des aligneurs transparents. Si vous êtes au début et que vous n'êtes pas encore sûrs de ce que vous pouvez faire, dites à vos patients (et mettez-le toujours dans votre consentement éclairé) que vous devrez peut-être terminer avec du fixe. Avec le temps vous vous apercevrez que vous n'avez pas besoin de terminer avec des appareils fixes. Aujourd'hui, dans certaines pratiques, c'est plutôt le contraire qui se produit.


Tout peut être fait avec des aligneurs transparents! Et ce n'est pas moi qui le dis: si vous regardez les articles scientifique, vous verrez que tous les types de mouvements peuvent être effectués. Certains sont plus faciles que d'autres. Il s'agit de savoir utiliser les deux. La mécanique,  c'est de la mécanique. L'orthodontie, c'est de l'orthodontie. Le fonctionnement de l'outil est différent, et c'est ce que vous devez apprendre. Il faut penser différemment, et il y a un changement de paradigme à faire lorsque vous travaillez avec des aligneurs transparents, surtout si vous avez l'habitude de travailler avec des broches ou boitiers fixes.


Avec des aligneurs transparents, vous pouvez fermer des espaces, vous pouvez corriger les occlusions croisées, les occlusions ouvertes, les occlusions fermées, rotations, vous pouvez faire une traction d'une canine, vous pouvez corriger les lignes médianes, corrigez la courbe de Spee, utilisez des élastiques, des TADS ... Et vous pouvez aussi déplacer des racines. Oui, des racines en mouvement! Si vous comparez les images de la Figure 2, vous verrez une correction significative de la couronne des incisives. Si la racine ne bougeait pas, cela signifierait que nous plions les dents. Ce serait quelque chose!


Un autre exemple de la Figure 3 est la façon dont nous pourrions redresser cette deuxième molaire inférieure avec aligneurs transparents uniquement. Dans ce cas, c'était, encore plus, un mouvement de racine qu'un mouvement de couronne. Si cela peut être fait avec des aligneurs transparents, alors tout est possible. Parfois, les limites ne sont que votre imagination. Et bien sûr vos connaissances et votre confiance. 



Je ne veux pas dire ces choses sont faciles, mais ces choses peuvent être apprises. Vous devez prendre le temps de vous renseigner, de faire certains cas et d'apprendre de vos cas. Apprendre ce qui n'a pas fonctionné. La chance que nous avons lorsque nous traitons des patients l'orthodontie, c'est que c'est un traitement qui durera un certain temps, ce qui signifie que nous pouvons changer notre approche. Si quelque chose ne fonctionne pas comme prévu, nous pouvons décider de modifier notre plan de traitement pour qu'il fonctionne. Et c'est une grosse différence par rapport à tous les autres types de traitements que nous pouvons faire pour nos patients.


Les aligneurs transparents sont ici pour rester; vos patients en veulent! Les dents ne sont pas sélectives et elles ne décideront pas de "ne pas bouger" parce que c'est du plastique. Elles ne répondent qu'à la force.


Le plus important, la raison pour laquelle intégrer des aligneurs transparents dans votre pratique est que vos patients le demandent. Si vous n'offrez pas ce traitement ou si quelqu'un de votre cabinet n'offre pas ce traitement, comment allez-vous rivaliser? Comment allez-vous vous différencier des autres? À une époque où un sourire n'a jamais été aussi crucial qu'aujourd'hui, vous devez intégrer ces outils de manière efficace et réussie dans votre pratique. Pas demain, pas la semaine prochaine, pas le prochain mois ... MAINTENANT!


Il y a une parade d'aligneurs; certains la dirigeront, certains la suivront, et certains la regarderont passer. Le fait que vous ayez lu cet article jusqu'à la fin montre que vous voulez être un(e) leader dans les traitements d'aligneurs transparents. Donnez-vous du temps; des buts et des objectifs. Intégrez votre équipe dans le processus et vous verrez que ce sera une victoire pour vos patients, une victoire pour les membres de votre équipe, une victoire pour votre clinique, et une victoire pour vous.


Combien de vos des patients vous ont référé un nouveau patient en raison d'un traitement de canal que vous avez fait? Les aligneurs transparents sont un vecteur de référence. Une autre bonne raison d'offrir ce service. Il n'est jamais facile de changer ou d'incorporer quelque chose de nouveau dans la pratique. Mais c'est toujours plus facile quand VOUS décidez de le faire, plutôt que lorsque vous n'avez pas le choix. N'hésitez plus; Faites le mouvement maintenant!