M.O.C.A. 201 - Mastering Clear Aligners (ENG)

Programme en anglais

M.O.C.A. 201 - Mastering Clear Aligners

Vous êtes prêt à aller plus loin et en apprendre encore plus avec les aligneurs transparents? Ce programme est pour vous!

Apprenez à votre rythme (accès 365 jours)

Programme complet: 40 crédits EC

Le programme M.O.C.A. 201 exige que vous soyez déjà familiarisé avec les aspects fondamentaux de la thérapie par aligneurs transparents. Ce cours approfondit la gestion des cas complexes, les techniques de traitement avancées, le dépannage et l'intégration des dernières avancées technologiques dans les traitements par aligneurs transparents. L'objectif est d'affiner vos compétences et vos connaissances à un niveau d'expert, vous permettant de gérer un large éventail de cas avec confiance et précision. Soudain, tout devient C.L.E.A.R. !


Programme en anglais (français à venir)

Cours inclus: programme M.O.C.A. 201

Vous pouvez vous inscrire à chacun des cours ci-dessous de façon individuelle (selon les dates disponibles). L'avantage de s'inscrire au programme complet est de bénéficier d'un rabais sur le total des cours. Si vous préférez payer mensuellement, cliquez ICI


ClinCheck® Pro

Clinical preferences

Distalization mechanics

Class II treatments

How to use elastics

Intrusion and extrusion mechanics

Deep bite mechanics

Ectopic cuspids

Preventive and Interceptive orthodontics: invisalign first

CLEAR Path to Root Resorption

Open bite mechanics

Troubleshooting 201

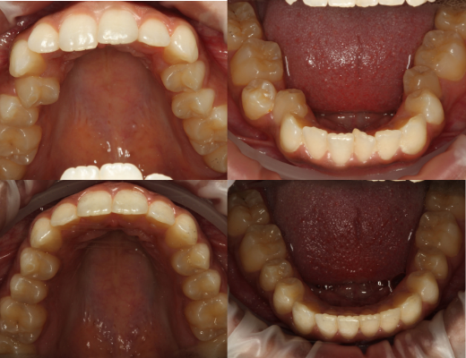
Exemples de cas présentés dans le programme M.A.T. 201

Le cours intermédiaire est destiné à ceux qui ont un peu d'expérience avec les aligneurs transparents (plus de 25 cas) et qui souhaitent passer au niveau suivant. Vous avez développé un intérêt pour les aligneurs transparents et ce qu’ils peuvent apporter à vos patients, mais vous voulez savoir quelle est la prochaine étape; vous voulez aller plus loin. Vous êtes convaincu qu'il y a quelque chose de positif pour vous et vos patients, mais vous manquez de connaissances et de confiance pour en faire plus. Ce cours intermédiaire vous amènera au prochain niveau. C’est là que tout commence à devenir clair !