M.O.C.A. 101 - Master Of Clear Aligners

Programme en Français

M.A.T. 101 - Principes des Aligneurs transparents

Il n'y a jamais eu de meilleur moment pour intégrer les aligneurs transparents dans votre pratique. Si ce n'est pas maintenant, ce sera quand?


12 cours + 12 sessions Q&R

Programme complet: 40 EC

ENFIN EN FRANÇAIS!

Voici le programme parfait pour acquérir la confiance nécessaire pour réussir l'intégration clinique des aligneurs transparents dans votre pratique. Ce dont vous avez besoin pour vous assurer un succès autant clinique que financier.


Débutez de la bonne façon

Maîtrise des aligneurs transparents

Cours inclus dans le programme M.A.T. 101 2024:

  • Consultation et prises de données
  • Diagnostic et plan de traitement
  • Sélection de cas
  • Anatomie et paramètres des aligneurs
  • Mécanique de base
  • Attachements 101
  • Réduction interproximale
  • Prescription et communication
  • Mise en bouche et suivis
  • Dépannage 101
  • Rétention
  • 12 sessions Q&R (webinaires mensuels)
  • Incluant toutes les notes de cours, documents et formulaires
  • Accès à tous les sessions jusqu'en Décembre 2025



Enfin en français

Cours inclus: programme M.A.T. 101

Le programme comprend:

12 cours mensuels de janvier 2024 à décembre 2024

12 sessions Q&R mensuelles de janvier à décembre 2024

Tout est enregistré et disponible sur la plateforme par la suite.

Accès au programme jusqu'en décembre 2025

Vous pouvez débuter quand vous voulez (tout est enregistré et disponible!)

40 crédits EFC


Consultation / Prise de données

Diagnostique et plan de traitement

Sélection de cas

Paramètres des aligneurs

Mécanique du mouvement des dents

Attachements 101

Prescription et communication

ClinCheck® 101

Mise en bouche et suivis

Troubleshooting 101

Rétention

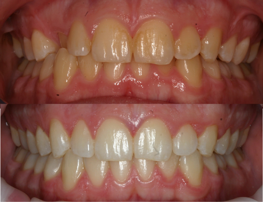
Exemples de cas de niveau M.A.T. 101

Le cours pour débutant est destiné à ceux qui commencent avec les aligneurs transparents ou à ceux qui envisagent de commencer. L’objectif est de vous donner les bases et l’assurance suffisantes pour soit commencer des cas, soit décider de vous faire certifier et commencez à vous engager sérieusement dans l’intégration des aligneurs transparents dans votre pratique. Si vous avez traité 0 à 25 cas, si vous avez été certifié et que vous n'avez jamais commencé un cas ou si vous hésitez encore à vous lancer pour de vrai, que vous manquez de confiance et avez besoin de plus de connaissances pour être confiant de débuter plus de cas, c'est le cours qu'il vous faut.


Le cours intermédiaire est destiné à ceux qui ont un peu d'expérience avec les aligneurs transparents (plus de 25 cas) et qui souhaitent passer au niveau suivant. Vous avez développé un intérêt pour les aligneurs transparents et ce qu’ils peuvent apporter à vos patients, mais vous voulez savoir quelle est la prochaine étape; vous voulez aller plus loin. Vous êtes convaincu qu'il y a quelque chose de positif pour vous et vos patients, mais vous manquez de connaissances et de confiance pour en faire plus. Ce cours intermédiaire vous amènera au prochain niveau. C’est là que tout commence à devenir clair !

Passez 30 ou 60 minutes en privé avec le Dr. Stephane Reinhardt dans une rencontre ZOOM qui sera enregistrée et vous sera envoyée par la suite. Posez vos questions, discutez de vos cas, revisez des notions, etc... Dites nous ce que vous aimeriez aborder lors de cette rencontre.


Planifiez une ou deux journées, dans vos bureaux, avec l’un de nos experts et votre équipe*. L’objectif est de vous accompagner dans l’implantation et le développement des Aligneurs Transparents dans votre pratique de tous les jours.

Discussions à propos des plans de traitements, formations sur place et jeux de rôle avec les membres de votre équipe sont à l’agenda. Vous déterminez les sujets à couvrir selon vos besoins**.

Notre objectif est de vous équiper avec tous les outils nécessaires pour que le succès soit au rendez-vous. Vous et votre équipe en ressortirez encore plus confiants et engagés avec le support de l’un de nos experts aguerris en la matière***. Nous vous transmettrons nos connaissances avec toute notre passion.


Nous sommes partenaires avec ClearTPS, une équipe menée par des orthodontistes et non pas des techniciens ou des conseillers,  afin de vous offrir un service personnalisé d'élaboration de vos plan de traitements en utilisant le logiciel ClinChecks® d'Invisalign®. Ils utilisent nos protocoles pour élaborer vos plans de traitements.

Profitez d'un rabais de 50% pour votre PREMIER ESSAI. Juste à cliquer sur le bouton ci-dessous.